life after a calcaneus stress fracture
Probably should do more. Life after a calcaneus fracture.
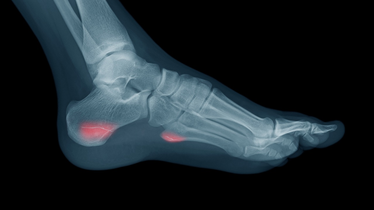
Calcaneus Stress Fracture Dr David Geier Feel And Perform Better Than Ever
Stress fractures sometimes take 3 to 6 months before athletes are able to return to sports following this injury.

. In the setting of fracture the tendon cannot generate enough power to support the extra weight resulting in. Life after a calcaneus fracture. This type of injury includes a little crack in the bone or a little muscle damage.
Life after a calcaneus fracture can be difficult but you will be able to return to your normal activities with patience and determination. Irrespective of whether the injured foot is put in a cast or splint one must not put any weight on the foot until the bone is completely healed which takes six to eight weeks at the least or sometimes longer. Life after a calcaneus fracture life after a calcaneus fracture.
If your toes are curling down you need to work them. If this happens consider yourself lucky because only after three to four months you will be able to resume your regular activities. Recovery time can be 6-8 weeks depending on the severity of the fracture.
I did it pretty active about 10-12 months and still stretch achilles every day and usully do various exercises 5-6 times a week. The quality of life of 55 patients with calcaneal fractures treated by ORIF was compared 29 years after injury with that of 55 people from the standardised German population of the German-Health-Survey 1998 using the Short Form 36 SF-36 Wilcoxon test. Stress fractures of the calcaneus can occur from overuse or repeated high impact activities.
After treatment you may need physical therapy to improve your strength and prevent further injury. During healing youll likely wear a cast or splint and avoid putting weight on your heel. June 12 2022 1 0.
On the other hand if the damage is worse then it may take one or two years to heal. Here are some tips to help you along the way. You need to keep doing the PT.
For good calcaneus fracture recovery one must take considerable care of the heel bone and not place any weight on it for approximately 10 weeks. Stress fractures of the calcaneus can be treated with noninvasive treatment. Most people heal from a calcaneal stress fracture within a few months.
Life after a calcaneus fracture. Pull the back from top of toe while pushing on joint from top. 1948 plymouth special deluxe parts wamz radio personalities.
SymptomsSome calcaneal fractures are obvious resulting in an inability to put weight on the heel swelling of the heel and bruising of the heel and anklePain is usually severe enough to require an emergency room visit. Most often patients will have to be on crutches and may even require a brief period of cast immobilization to allow the fracture to heal. They are the second most common stress fracture of the foot after navicular stress fractures.
This is called Mondor sign and is a strong indicator for calcaneus fracture. For good calcaneus fracture recovery one must take considerable care of the heel bone and not place any weight on it for approximately 10 weeks after surgery. If the fracture is caused by a stress fracture over time then symptoms may be far more vague.
The results of SF-36 of patients were correlated with results of the calcaneus score according to Zwipp and AOFAS. This is common in less severe fractures or stress fractures and occurs because the Achilles tendon supports your body weight and attaches to the calcaneus.
Why Do My Heels Hurt Causes Symptoms Best Treatment
Causes And Prevention Of Stress Fractures In The Foot And Ankle Orthovirginia
Calcaneal Fracture Treatment Exercises Faqs Case
Does Shockwave Treatment Help A Calcaneus Stress Fracture Heal Youtube
Plantar Fasciitis Vs Stress Fracture Angleton Er
Calcaneal Fracture Symptoms Causes And Treatment
Heel Pain Heel Fractures Foot Ankle Specialists Bellevue
Heal Bone Fractures Calcaneal Fractures
Stress Fractures And Their Treatment Dr Brian Fullem Athletebiz
Calcaneal Stress Fracture Heel Pain Advice
Calcaneal Stress Fractures Foot Manchester Physio Leading Physiotherapy Provider In Manchester City Centre And Sale
Plantar Fasciitis Vs Stress Fractures Heel That Pain
Ankle And Foot Fractures Physiopedia
Calcaneal Stress Fracture Upswing Health Upswing Health
Calcaneus Stress Fracture Signs Symptoms And Treatment Options Youtube
How Do You Treat A Calcaneus Stress Fracture Youtube
Can I Run With A Stress Fracture In The Heel Bone
Types Of Stress Fractures How To Prevent Them Health Plus
Stress Fractures On Return To Exercise Grosvenor Orthopaedic Partners